Cabinet dentaire du Dr Desmuyck à Troyes
Chirurgien-Dentiste à Troyes - Parodontie, Implantologie et Esthetique
Accueil
Le cabinet
Plan d'accès
Urgences
Vidéos
Fiches patients
Contact par mail
GREFFES OSSEUSES EN IMPLANTOLOGIE ET PROTHESES COMPLETES SUR IMPLANTS
CHIRURGIE PLASTIQUE PARODONTALE ET TRAITEMENT PARODONTAL
PROTHESES SUR IMPLANTS
Accueil
Le cabinet
Plan d'accès
Urgences
Vidéos
Fiches patients
Contact par mail
GREFFES OSSEUSES EN IMPLANTOLOGIE ET PROTHESES COMPLETES SUR IMPLANTS
CHIRURGIE PLASTIQUE PARODONTALE ET TRAITEMENT PARODONTAL
PROTHESES SUR IMPLANTS
Cabinet dentaire du Dr Desmuyck à Troyes
18 rue Paillot de Montabert
10000
TROYES
Chirurgien-Dentiste à Troyes - Parodontie, Implantologie et Esthetique
+33 3 25 73 12 30
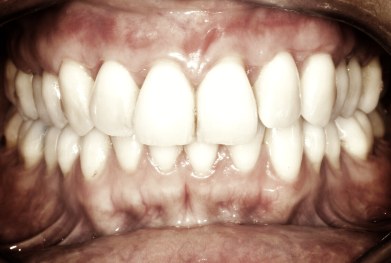
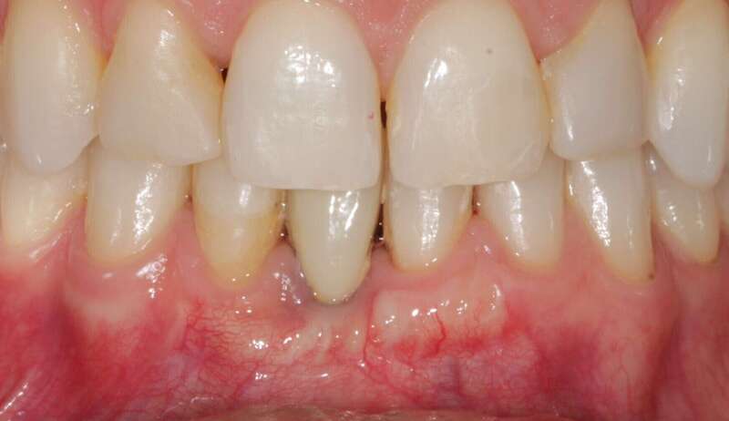
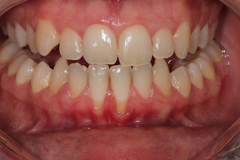
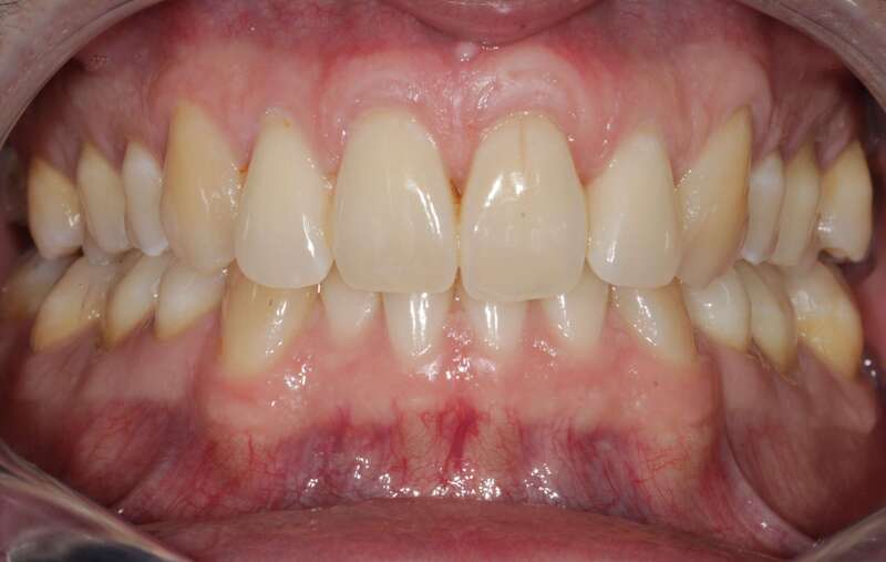
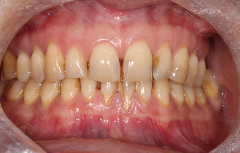
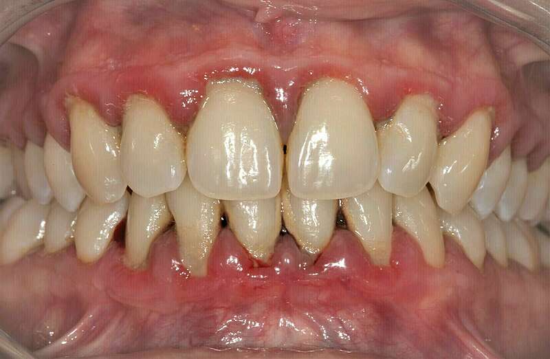
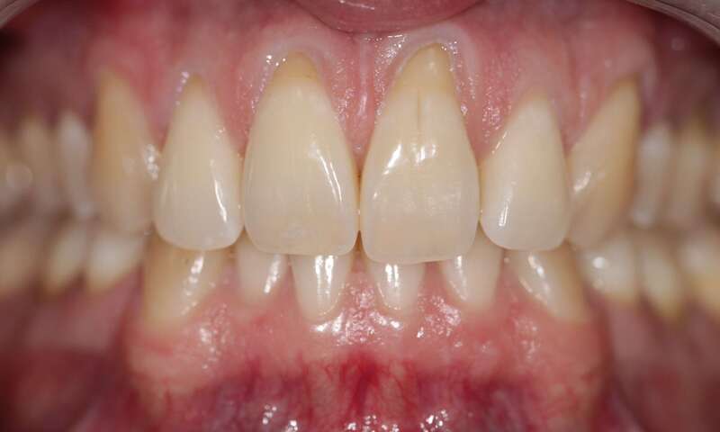
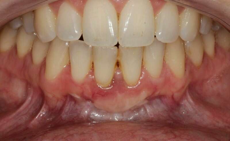
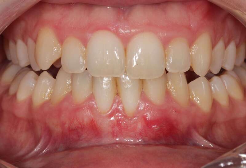
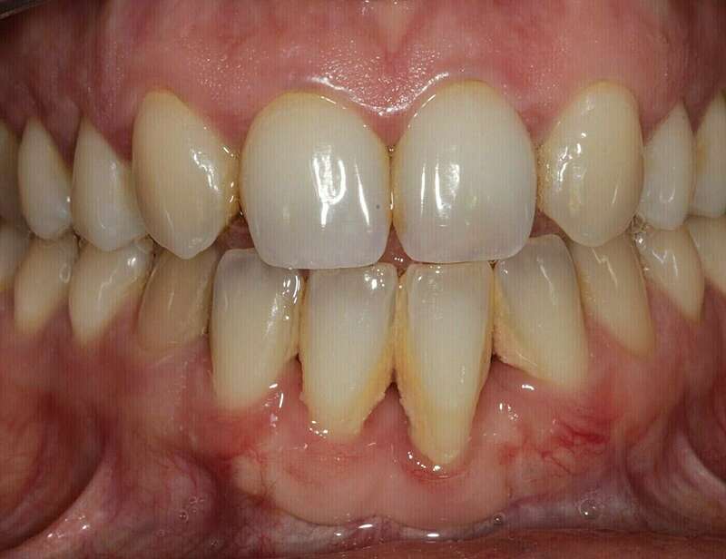
CAS CLINIQUES DE CHIRURGIE PLASTIQUE PARODONTALE TRAITEMENT PARODONTAL
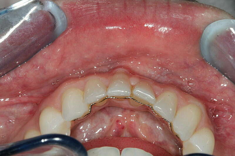
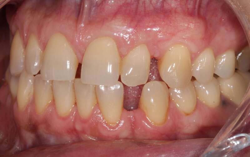
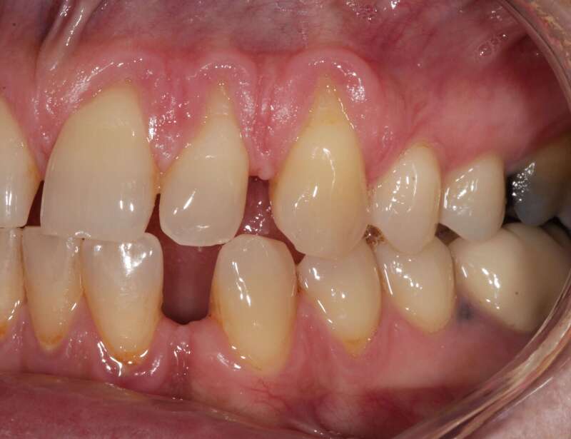
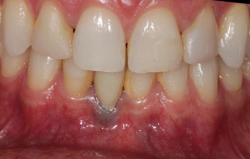
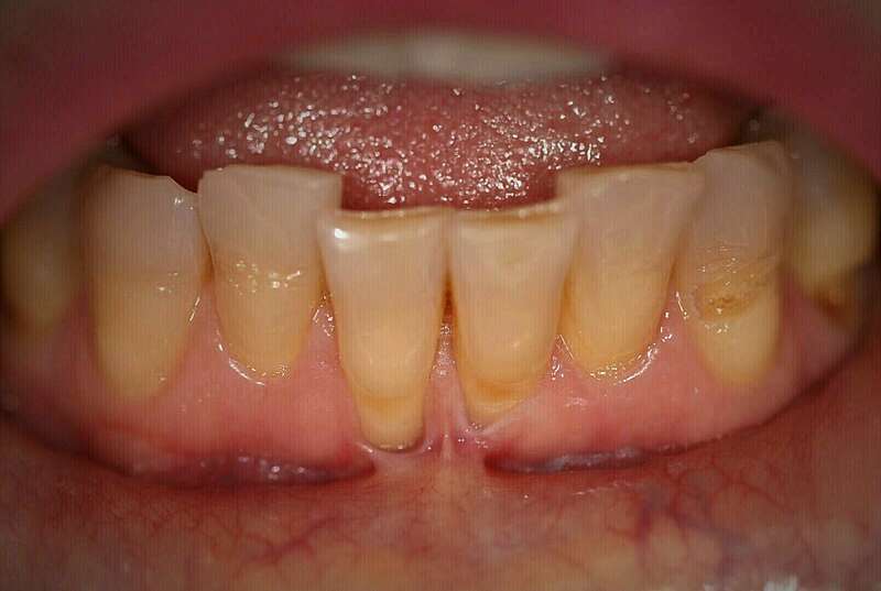
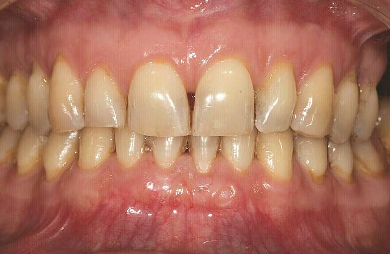
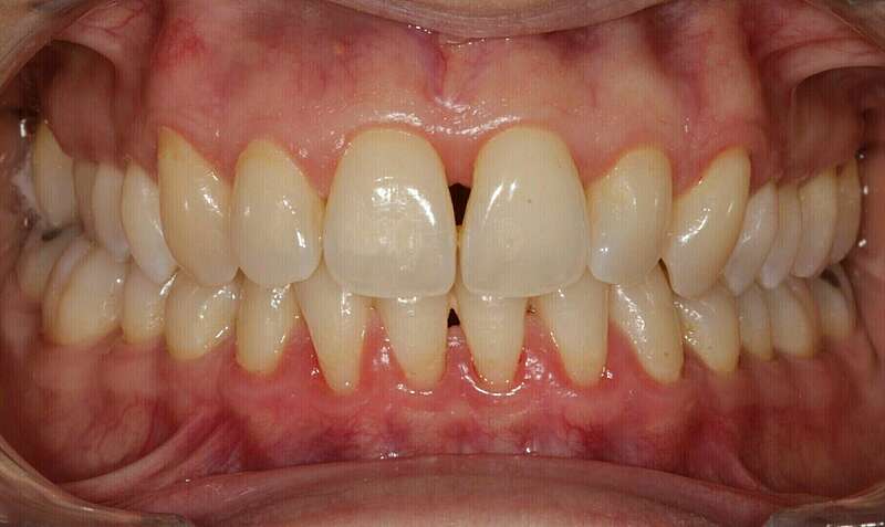
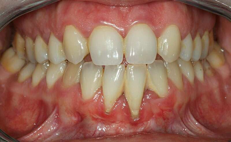
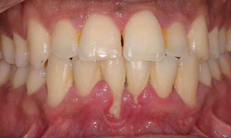
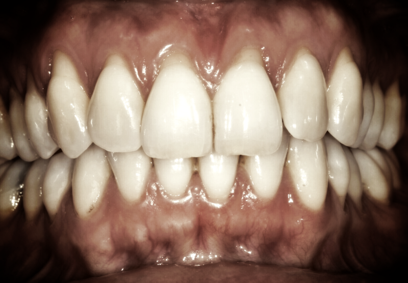
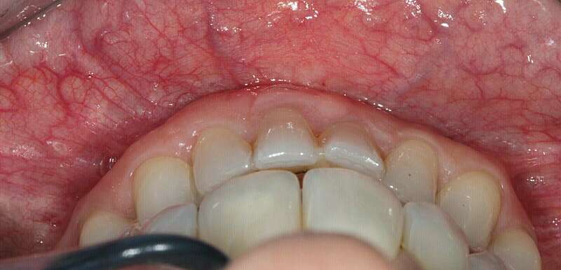
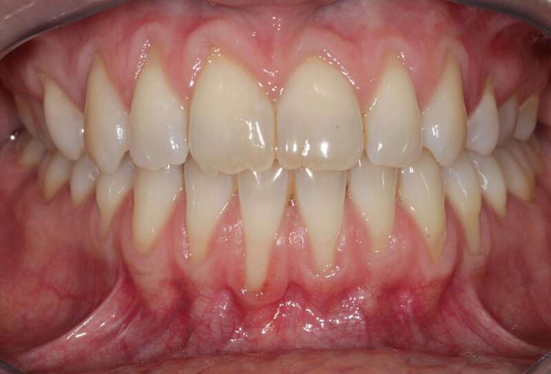
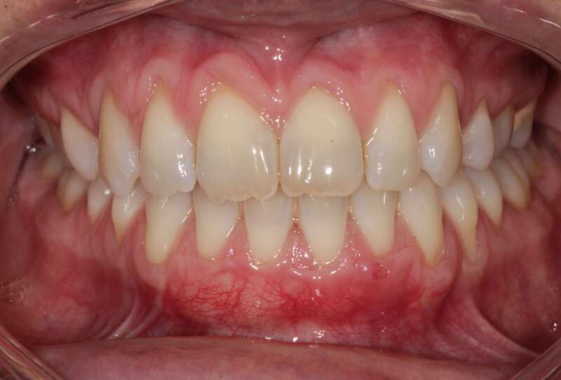
RECOUVREMENT RADICULAIRE ESTHETIQUE ANTERIEUR
Avant
Après
Avant
Après
Avant
Après
Avant
Après
Avant
Après
Ligne 1
Ligne 2
Avant
Après
Avant
Après
Avant
Après
The Wall
Avant
Après
TRAITEMENT DE LA PARODONTITE
Avant
Après
Avant
Après
Greffe Tunnel Exposée
Avant
Après
Greffe Epithélio-Conjonctive "GEC"
Avant
Après
GREFFE EC 2
Avant
Après
PROTHESES COMPLETES SUR IMPLANTS
Avant
Après
Avant
Après
Politique de confidentialité et charte cookie
Mentions légales
Conditions Générales Utilisation
Charte déontologique
Ordre national
Création par
Connexion