Cabinet dentaire du Dr Desmuyck à Troyes
Chirurgien-Dentiste à Troyes - Parodontie, Implantologie et Esthetique
Accueil
Le cabinet
Plan d'accès
Urgences
Vidéos
Fiches patients
Contact par mail
GREFFES OSSEUSES EN IMPLANTOLOGIE ET PROTHESES COMPLETES SUR IMPLANTS
CHIRURGIE PLASTIQUE PARODONTALE ET TRAITEMENT PARODONTAL
PROTHESES SUR IMPLANTS
Accueil
Le cabinet
Plan d'accès
Urgences
Vidéos
Fiches patients
Contact par mail
GREFFES OSSEUSES EN IMPLANTOLOGIE ET PROTHESES COMPLETES SUR IMPLANTS
CHIRURGIE PLASTIQUE PARODONTALE ET TRAITEMENT PARODONTAL
PROTHESES SUR IMPLANTS
Cabinet dentaire du Dr Desmuyck à Troyes
18 rue Paillot de Montabert
10000
TROYES
Chirurgien-Dentiste à Troyes - Parodontie, Implantologie et Esthetique
+33 3 25 73 12 30
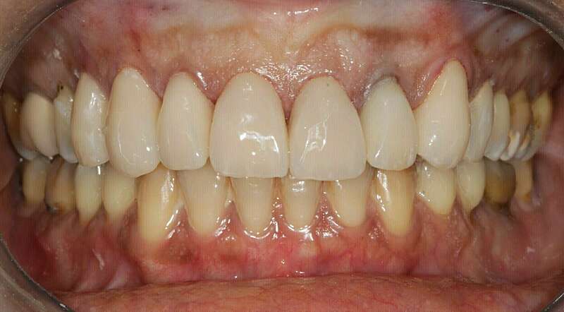
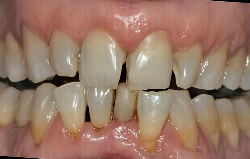
RECONSTRUCTIONS DENTAIRES ESTHETIQUES PAR FACETTES ET INLAY ONLAY CERAMIQUE
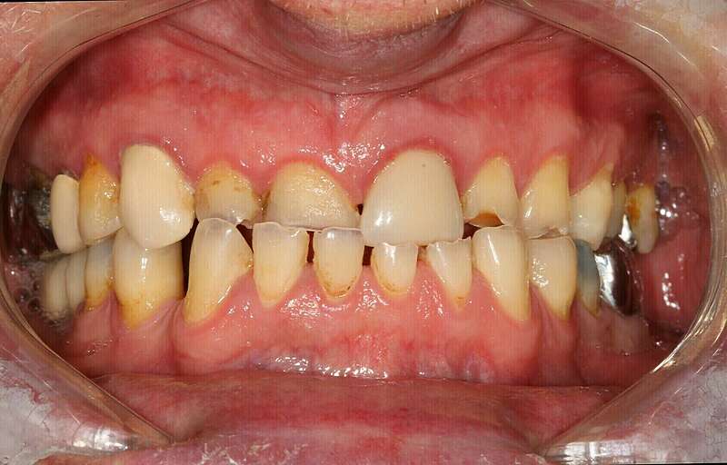
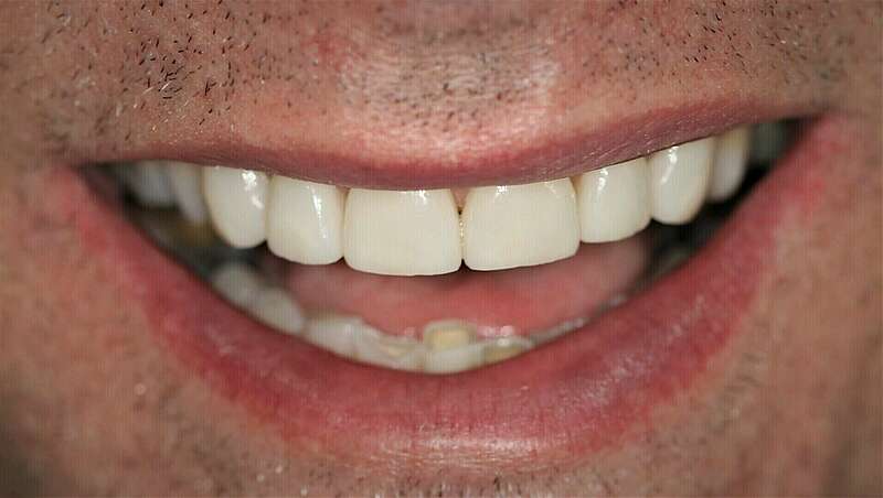
CAS 1: RESTAURATION PAR FACETTES
Avant
Après
RECONSTRUCTION CERAMIQUE D'ABRASIONS SEVERES
Avant
Après
CORECTION USURES DENTAIRES PAR FACETTES CERAMIQUES
Avant
Après
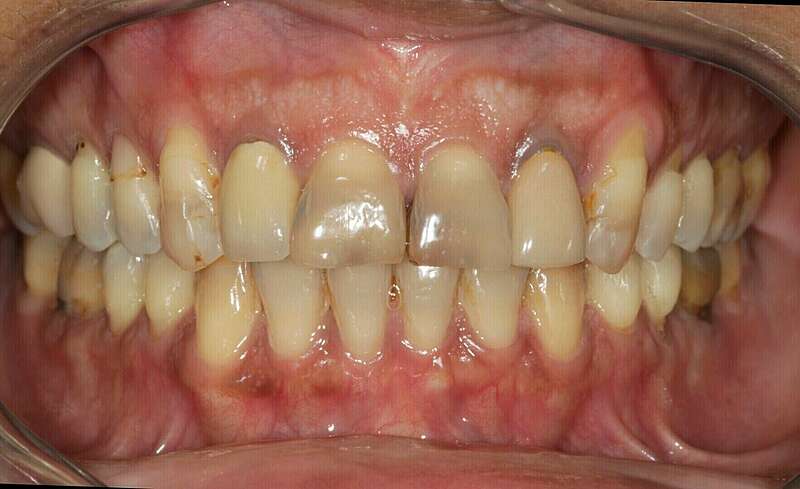
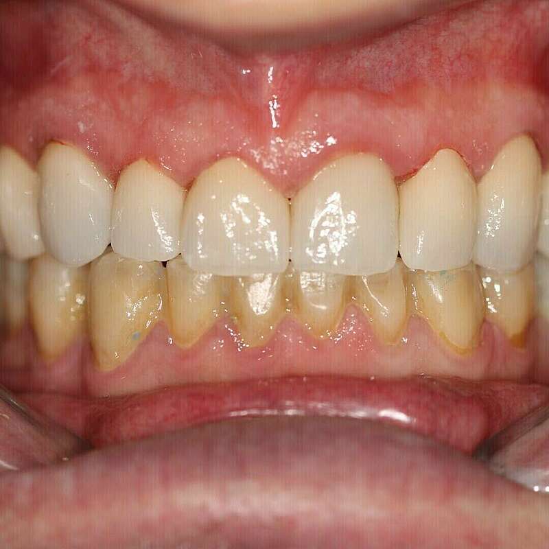
CORRECTION ANOMALIES DENTAIRES DE FORMES ET TEINTES
Avant
Après
CORRECTIONS RESTAURATIONS COMPOSITES INFILTREES, ANOMALIES DE TEINTES PAR FACETTES DENTAIRES
Avant
Après
Avant
Après
CORRECTIONS VIEILLISSEMENT DENTAIRE ANTERIEUR PAR FACETTES CERAMIQUE
Avant
Après
BEAU SOURIRE !
Avant
Après
Avant
Après
PROTHESES COMPLETES SUR IMPLANTS
Avant
Après
Avant
Après
Politique de confidentialité et charte cookie
Mentions légales
Conditions Générales Utilisation
Charte déontologique
Ordre national
Création par
Connexion