Cabinet dentaire du Dr Desmuyck à Troyes
Chirurgien-Dentiste à Troyes - Parodontie, Implantologie et Esthetique
Cabinet dentaire du Dr Desmuyck à Troyes

18 rue Paillot de Montabert
10000 TROYES

Chirurgien-Dentiste à Troyes - Parodontie, Implantologie et Esthetique

+33 3 25 73 12 30

Blog - Page 12

Maxillaire complet et traitement implantaire pour un bridge fixe scellé

Maxillaire complet et traitement implantaire pour un bridge fixe scellé

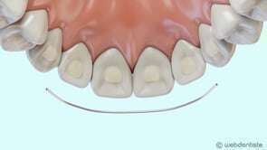
Fil de contention

Fil de contention

Conséquence de la perte des dents postérieures

Conséquence de la perte des dents postérieures

Protocole de dévitalisation d'une dent ou traitement endodontique

Protocole de dévitalisation d'une dent ou traitement endodontique

Parodontite et formation de la poche parodontale

Parodontite et formation de la poche parodontale

Le surfaçage

Le surfaçage

Affichage des articles 67-72 sur 198